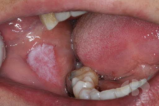
Todos sabemos que durante estos días, los mayores de la casa han estado encerrados para evitar los efectos del Coronavirus. Razón por la que muchas de las lesiones que habitualmente tienen en sus bocas pueden haber aumentado o modificado su importancia. Por esa razón, creemos que ante la presencia de una úlcera, un sangrado inexplicable, dolor o una lesión nueva, deben acudir a la clínica Sciaini lo antes posible.Si por razones de edad o movilidad, no pudiese desplazarse te rogamos realices a tu familiar una foto con el móvil, para obtener una primera impresión diagnóstica y envíala a nuestro mail. Posteriormente nosotros nos desplazaremos hasta su domicilio para comprobar su estado y así evitar desplazamientos innecesarios.La salud de los más mayores sigue siendo para nosotros muy importante.




